Smile Gallery

Start the New Year with a New Smile!

The image shows a side-by-side comparison of a person s teeth, with the left side showing discolored and possibly damaged teeth, while the right side displays brighter, cleaner teeth after dental treatment.

The image shows a person s smile with yellow teeth, some of which are missing, and there is a visible dental implant.

The image is a collage of three photos showing a person with a large smile, displaying their teeth and metal braces.

The image shows a person with a dental implant, smiling broadly at the camera.

The image shows a before and after comparison of dental treatments, with the  before  side showcasing yellowed teeth and the  after  side displaying clean, white teeth.

The image shows a side-by-side comparison of two different teeth whitening treatments, with the top half depicting a person s teeth after a cosmetic procedure and the bottom half showing a person s teeth before the treatment.

Two images of a person smiling, showcasing their teeth with a focus on dental care and cosmetic procedures.

The image displays a person s mouth with severely discolored teeth, showing both upper and lower teeth with yellow stains.

The image shows a side-by-side comparison of two individuals, one with a natural smile and the other with a cosmetic dental treatment, highlighting the difference in appearance.

The image shows a side-by-side comparison of two individuals with different dental treatments. On the left, there is a person with a noticeable gap in their teeth, while on the right, another individual displays a full set of white teeth, which appear to be the result of cosmetic dental work.

The image shows a person s mouth with yellowed teeth and a partial denture, displaying a smile.

Before

The image shows a close-up of a person s smiling mouth, displaying straight white teeth and gums.

After

The image shows a close-up of a person s teeth with visible signs of decay and discoloration, emphasizing dental health concerns.

Before

The image shows a close-up of a person s teeth with yellowing, indicating possible discoloration or staining.

After

An image of a person s smiling face with a noticeable gap between the upper teeth.

Before

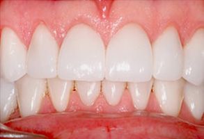
The image shows a close-up of a person s lower face, including a smile with white teeth and pink gums, set against the background of their lips.

After

An image of a person s mouth with a focus on their teeth, which are white and appear to be in good condition.

Before

The image shows a close-up of a person s teeth, focusing on the lower front teeth.

After

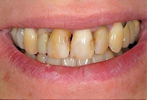
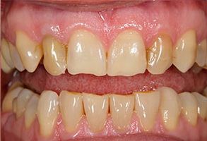
The image shows a close-up of a person's mouth with teeth that appear to be discolored, possibly due to staining or decay.

Before

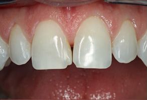
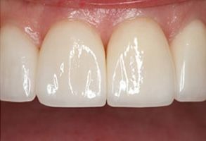
The image shows a close-up of a person's teeth, focusing on the front teeth and gum line.

After

The image shows a close-up of a person's teeth with visible staining or discoloration, likely for dental health education purposes.

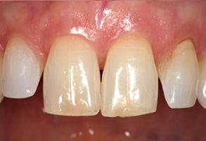
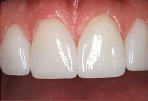
Before

The image displays a close-up of a person's teeth, showcasing a set of white dental implants or veneers with a natural tooth appearance.

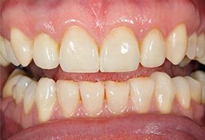
After

An image of a person's mouth with visible dental work, including yellowed teeth and a large gap between the upper and lower front teeth.

Before

The image shows a close-up of a person's mouth with a focus on their teeth, which appear to be crooked and possibly in need of orthodontic treatment.

After